dr_subhash_m_mohite
Menu
Home
About Us
Services
Gallery
Contact Us
BOOK APPOINTMENT
BOOK APPOINTMENT
Menu
Home
About Us
Services
Gallery
Contact Us
Videos
Deformity Correction
Joint Replacement
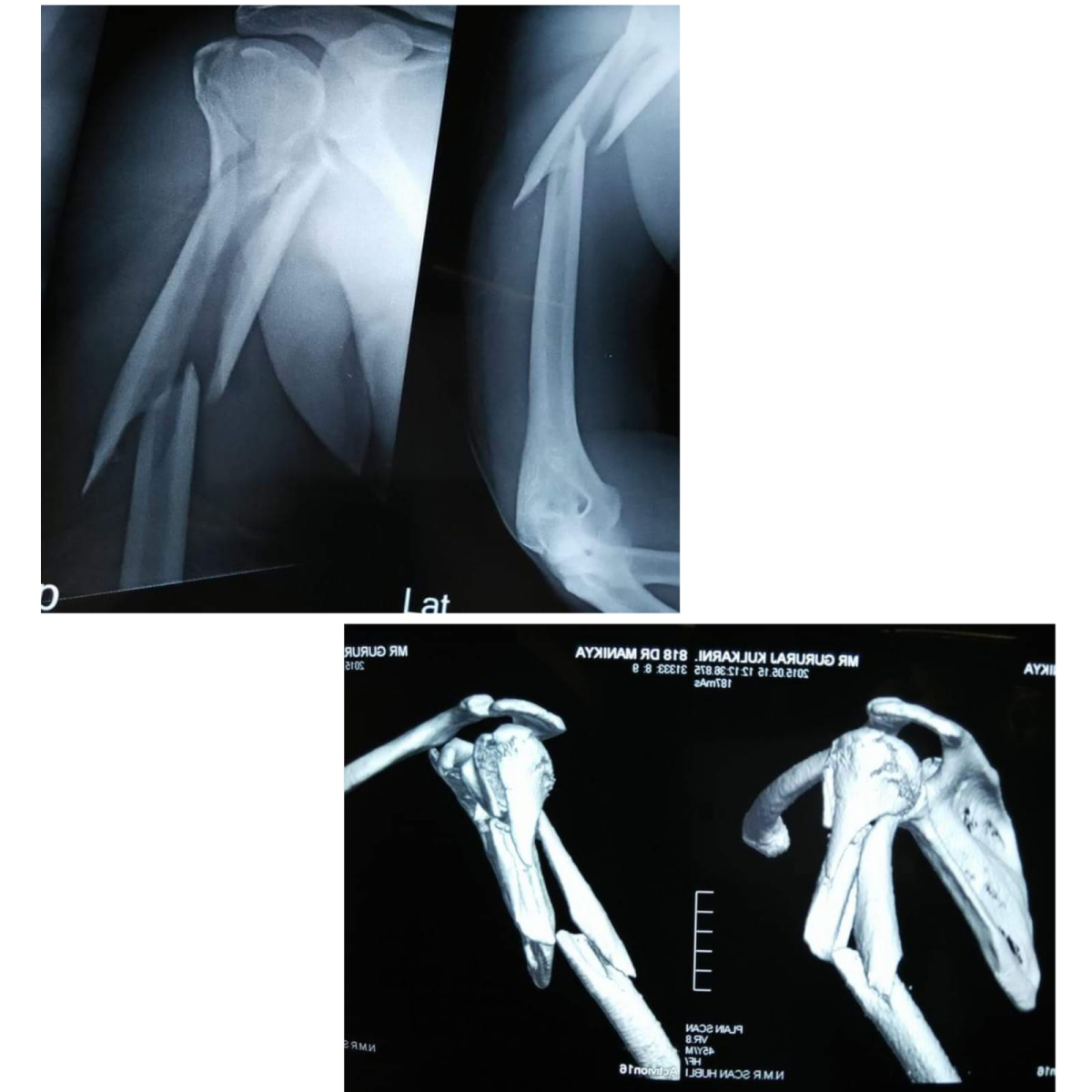
Complex Fractures Management